¿Qué puedes encontrar en el Diccionario de Alzhéimer?

El Diccionario de Alzhéimer es el puente que une a todos aquellos afectados y relacionados con el alzhéimer y las demencias con los términos, conceptos y expresiones que forman parte de este ámbito. Comprenderlos es entender mejor a qué nos enfrentamos. Un espacio vivo y en constante crecimiento, que evolucionará con nuevos términos y expresiones con vuestra ayuda, respondiendo a vuestras necesidades y demandas. Se trata de una herramienta que en ningún caso pretende sustituir las conversaciones con médicos especializados. Para familiares y cuidadores informales puede significar un nexo con un mundo del que desconocen los tecnicismos. Arrojar luz, acompañar en un camino difícil en el que el conocimiento ayuda a tomar mejores decisiones y a mejorar la calidad de vida de pacientes y familiares.
Este proyecto lo ha llevado a cabo un equipo de filólogos y lexicógrafos de varias universidades y centros de investigación que ha trabajado anteriormente en diferentes proyectos de investigación centrados en el dominio de la lexicografía especializada, particularmente la lexicografía médica. Dichos proyectos, al igual que este, han sido dirigidos por la profesora Bertha M. Gutiérrez Rodilla, de la Universidad de Salamanca (España), dedicada desde hace más de veinte años al estudio diacrónico y sincrónico del lenguaje científico y al lenguaje médico y reconocida por sus publicaciones en dicho ámbito.

placas seniles

Inglés
senile plaques
Etimología

Placa es préstamo del francés plaque, del germánico plack- 'aplicar algo plano sobre una superficie'; y senil proviene del latín senīlis, de senex 'hombre viejo'.

Explicación

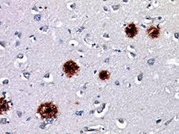
Los depósitos de estos materiales de desecho que constituyen las placas seniles, y cuya frecuencia de aparición aumenta con la edad, suelen relacionarse, junto con los ovillos neurofibrilares, con la enfermedad de Alzheimer, a pesar de no estar totalmente claro en qué consiste esa relación. Lo que sí se sabe es que estas placas también aparecen en personas que no están afectadas por la enfermedad y que no presentan deterioro cognitivo, aunque en cantidades menores: cuando aparecen más de cinco placas por mm2 por debajo de los 50 años, más de ocho en personas entre 51 y 65, más de diez en individuos entre 66 y 75 o más de 15 en mayores de 75 años, se considera que puede establecerse el diagnóstico de enfermedad de Alzheimer.

Placas seniles

Google Imágenes para uso no comercial

Ejemplos

«La densidad de las placas seniles en la corteza se correlaciona muy deficientemente con el grado de demencia: existen enfermedades que presentan densidades de placas por demás considerables y en las que la demencia se ha calificado como moderada, y viceversa. Esa ausencia de vínculo mecánico indica que deben existir complejas relaciones entre la presencia de las placas seniles y la alteración del funcionamiento de las neuronas» (Campion y Hannequin, 2002: 58).

 

«Esta vacuna es revolucionaria. No ataca a virus o bacterias, sino a una sustancia dañina: el amiloide de las placas seniles. Y no sólo impide que se forme, también lo elimina de los sitios en que se acumulaba. Ésa es la novedad: se vacuna a animales o pacientes con la proteína beta-amiloide, la misma que inicia y desencadena la enfermedad de Alzheimer. Nuestras células defensoras (linfocitos y microglía), sensibilizadas contra esa sustancia extraña, la "devoran" y destruyen. Y la demencia se detiene» (González Maldonado, 2013: 174).

Depósitos extracelulares en la sustancia gris del cerebro formados por neuronas muertas, otras células cerebrales y fragmentos de proteínas tóxicas, conocidos como beta amiloide, que se relacionan con procesos de envejecimiento y de degeneración neuronal.